[小滝橋動物病院]
東京都新宿区の動物病院
新宿区 大久保・下落合・高田馬場
日曜日も診療・駐車場完備

[小滝橋動物病院]東京都新宿区の動物病院
新宿区 大久保・下落合・高田馬場
日曜日も診療・駐車場完備

CASES 症例紹介
ここでは特徴的な症例について、一部をご紹介いたします。
※手術の写真を掲載しておりますので、苦手な方はご注意ください。
小滝橋動物病院グループ全体の外科症例件数については、>こちらをご参照ください。

胆嚢摘出を行なった犬の1例

胆嚢は、肝臓で作られた胆汁(消化酵素)を蓄える袋状の臓器です。
胆汁は食べ物を食べた時に十二指腸に分泌され、食べ物に含まれる脂肪分を乳化し体の中に吸収しやすくする役割があります。

加齢や何かしらの異常により胆泥症(胆汁が濃縮して変質し、泥状になったもの)や胆石症(胆汁が変質し、結晶化したもの)、胆嚢炎といった病状に変化していくことがあります。

また、これらの病状がさらに進行すると、胆嚢粘液嚢腫や胆嚢壊死、場合によっては胆嚢破裂を起こし緊急的に手術(胆嚢摘出術)を行うことがあります。

症例
ポメラニアン、12歳、オス。
来院前日よりの嘔吐、元気食欲の低下を主訴に来院しました。

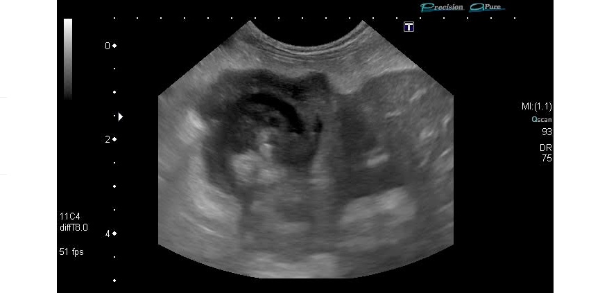
各種検査
可視粘膜の黄疸、肝臓パネルの上昇、ビリルビン値の上昇、CRPの上昇などを認めました。
超音波検査では胆嚢内に高エコー物が認められ、胆嚢壁は肥厚していました。
また、胆嚢周囲の脂肪組織は高エコーを呈し、腹水を疑う所見があることから、胆嚢壁の破裂が起きていると考えました。
診断
胆嚢粘液嚢腫や胆嚢壊死による胆嚢破裂。

治療と経過
入院下で点滴や抗生剤といった内科治療を開始しました。
内科治療には反応し、食欲や黄疸の改善が認められたため、1週間程度で退院しました。
退院後、経過観察を行なって行きましたが、超音波検査で胆嚢には依然として胆嚢内の高エコー物や胆嚢の肥厚が認められました。
本症例は、症状の再発のリスクを考え、退院3週間後に胆嚢摘出を行いました。

手術中の写真です。
術後、経過は順調であり、本人の食欲も手術前以上に改善されました。
現在、一般状態は良好であり、定期的に検診を行なっていく予定です。

考察
犬の胆嚢疾患では、外科的な処置を行うタイミングの判断が難しいことがあります。
健康診断などで偶発的に発見されて無症状の場合、経過観察になることも少なくありません。
典型的な症状が認められる場合であっても、点滴や抗生剤などによる内科的治療に反応し良化することも多いですが、再発も多く認められます。
内科治療の反応が乏しい場合や、胆嚢破裂や胆嚢閉塞などの所見がある場合は、緊急的に手術を行いますが、周術期の死亡率は一般的に高いと言われています。
その為、胆嚢に変性が認められる場合、手術の合併症リスクの軽減や胆嚢破裂を未然に防ぐために、予防的胆嚢切除(早期の外科切除)も検討しても良いと考えます。