[小滝橋動物病院]
東京都新宿区の動物病院
新宿区 大久保・下落合・高田馬場
日曜日も診療・駐車場完備

[小滝橋動物病院]東京都新宿区の動物病院
新宿区 大久保・下落合・高田馬場
日曜日も診療・駐車場完備

CASES 症例紹介
ここでは特徴的な症例について、一部をご紹介いたします。
※手術の写真を掲載しておりますので、苦手な方はご注意ください。
小滝橋動物病院グループ全体の外科症例件数については、>こちらをご参照ください。

犬の上腕骨外顆の成長板骨折の一例

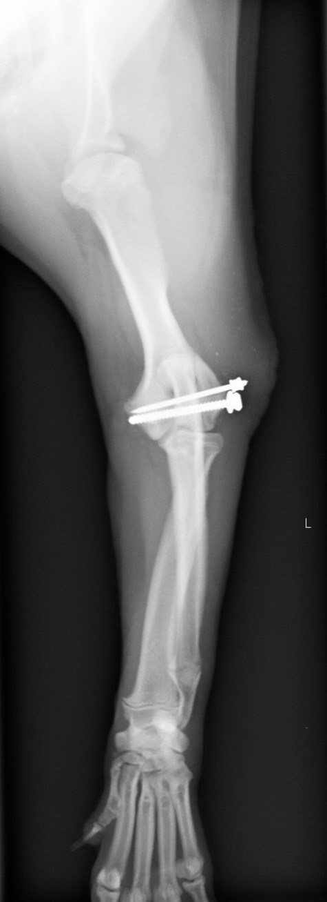
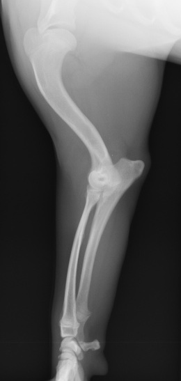
抱っこしていた犬が飛び降りて着地を失敗。そのまま足の骨を折ってしまった…。 そんな話を聞いたことがある方もいらっしゃるのではないでしょうか。 犬は比較的骨折をしてしまうと言われていますが、特に若齢の犬は骨が成長途中のため折れやすくなっています。 本症例は10歳避妊雌のフレンチブルドッグです。 オーナー様が抱っこしている最中に、腕から飛び降りて肘を強打。その後、左前肢を挙上しているとの主訴で来院されました。 来院時も左前肢を挙上した状態で、左の肘あたりを触ると軽度の骨の動揺が認められました。 肘部のX線検査にて左上腕骨外顆の成長版骨折が認められました。
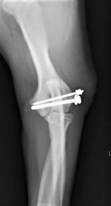
成長版骨折ということもあり早期の手術が必要と判断し、そのまま入院・手術となりました。 肘部の外側からアプローチを行い、肘関節を露出します。 骨折部位を確認し、ピンニングによって仮固定を行います。 Cアームを用いて骨折部位のアライメントが整っているのを確認した後にスクリューを入れていきます。
スクリューとピンの固定後、X線検査にてアライメントが整っているか確認して終了です。
術後2か月程度で骨癒合が確認されたため、スクリューとピンの予定となりました。
その後数週間で抜いたスクリューとピンの部位の骨増生を認めたため、定期的なX線検査により経過を観察して治療終了としました。